• HOME
  • >
  • 症例:8020・9020


90歳グループ (90歳~94歳)

平均 メンテナンス年数 33.2年
初診 来院時の年齢  平均 58歳

 

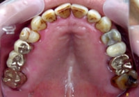
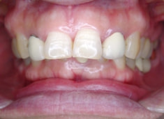
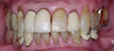
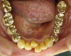
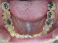
94歳 女性

 

メンテナンス期間 38年
現在歯数 25本
 
 

 
91歳 女性

 
メンテナンス期間 44年
現在歯数 20本
 
 
 
 

90歳 男性

 
メンテナンス期間 40年
現在歯数 26本
 
 

90歳 男性

 
メンテナンス期間 43年
現在歯数 28本
 
 

90歳 男性

 
メンテナンス期間 36年
現在歯数 22本
 
 


85歳~89歳グループ 

平均 メンテナンス年数 27.8年
初診 来院時の年齢  平均 57歳

 

88歳 女性

 メンテナンス期間 29年
現在歯数 26本
 
 

88歳 男性

 
メンテナンス期間 42年
現在歯数 26本
 
 

85歳 男性

 
メンテナンス期間 38年
現在歯数 26本
 
 
 

80歳~84歳グループ 

平均 メンテナンス年数 28.6年
初診 来院時の年齢  平均 49歳

 

83歳 女性

 

メンテナンス期間 40年
現在歯数 28本
 
 

81歳 女性

 
メンテナンス期間 31年
現在歯数 32本
 
 
 

81歳 女性

 
メンテナンス期間 30年
現在歯数 32本